Tooth Extraction

Is your tooth pain keeping you up at night? Our dentist aims to save every tooth, but sometimes the only solution is extraction. When tooth extraction is the solution to better oral health, our dentist uses gentle techniques and sedation options to provide comfort.  Dr. Rick Heard of Gulf Coast Periodontics in Victoria, TX, is trained in extractions and restorations to restore your smile and oral health.

Take a Closer Look at Tooth Extraction

Have You Put off a Tooth Extraction? Schedule an Appointment Today

Ignoring a severe oral problem won't make it go away. If you have any symptoms that point toward a tooth extraction solution, contact us to schedule an appointment with our oral surgeon. Our dentist at Gulf Coast Periodontics in Victoria, TX, will make the procedure a delicate process. Call us to schedule an appointment:

(361) 573-1014

Or send us a message!

"Rick is a true professional." Hear what patients have to say about our dentistry office in Victoria, TX.

1

Mike Y

2020

Google logo

I've been seeing Dr. Heard for almost a year now and every appointment has been great. Every person on the staff is welcoming. Also, his hygenist Cali is the best I've ever been to. Awesome place!

View on Google
1

Mike Buie

2021

Google logo

Rick is a true Professional. His staff are friendly and great practice for oral care.

View on Google

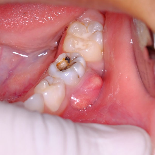
The Process of Gentle Extraction

Dr. Heard takes the time to get to know each of his patients on an individual level.
Dr. Heard takes the time to get to know each of his patients on an individual level.

Join Us for a Consultation

The process of extracting a tooth begins with a consultation in our Victoria, TX, dentistry office. During your consultation, our dentist will use digital x-rays and other advanced technology to accurately identify which teeth require extraction. 

Relax With Sedation Options

Dr. Heard will apply a local anesthetic to numb the extraction site. Patients that have dental anxieties or have a condition that makes sitting still difficult, you can request sedation. Your sedation will be administered and monitored by Drs. Derrick Garrett or Steve Janececk, who are board-certified anesthesiologists from South Texas Anesthesia Group.

Receive a Simple Extraction

Non-impacted teeth are removed with a simple extraction that doesn't require an incision in the gums. After sedation and numbing, the dentist will gently rock the tooth back and forth out of the socket. Gauze is applied to help the blood clot and no stitches are required to stop the bleeding. 

Receive a Surgical Extraction

The dentist may need to create an incision in the gums and remove bone tissue to access the impacted tooth for complex oral problems. In some cases, the tooth will need to be removed in pieces. Depending on the severity, you may need stitches. Again, gauze will be applied to help stop the bleeding. 

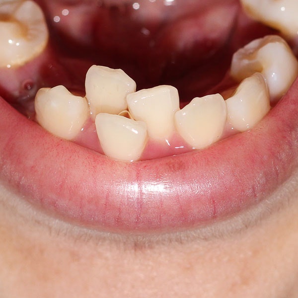
Restoring the Tooth

After your extraction, Dr. Heard may recommend replacing the tooth with a restorative option. Other than wisdom teeth or teeth removed for crowding purposes, the dentist will always recommend restoring the extracted teeth to prevent further oral health problems. 

Aftercare Tips

Following your extraction, swelling and discomfort can follow.
Manage symptoms with these tips. 

Manage Pain

If you have a non-surgical, simple extraction, prescription medication is unnecessary. Over-the-counter pain relievers can help manage any pain and discomfort. For surgical extractions, our dentist may prescribe medication to relieve pain. 

Reduce Swelling

Swelling can occur after extraction. To minimize swelling, apply a cold compress. You should also avoid chewing on the side of your mouth where the tooth was extracted to lessen the pain and swelling and avoid rupturing the clot.

Protect the Extraction Site

After your dental surgery, avoid strenuous activities for a few days as it can lead to increased bleeding and swelling at the clot. Avoid crunchy, hard foods and drinking through a straw as this can dislodge the blood clot, causing pain and bleeding. 

What's the Cost of a Tooth Extraction?

The cost of tooth extraction will vary depending on the severity of the case. Simple extractions averagely cost $75 to $200 per tooth and surgical extractions cost anywhere between $800 and $4,000. Our dentistry office helps you file with your insurance and accepts CareCredit® financing to help patients afford treatment.  

"I drove 2 hours to come here!"

Patients from all over come to our office in Victoria, TX.

1

Elizabeth Cheng

2020

Google logo

Dr. Heard is so caring, professional and very knowledgeable. I had a gum grafting surgery with sedation and I never felt any pain during or afterwards. Wonderful care and results! You'll be in good hands here. I drove 2 hours to come here!

View on Google
1

Ann M.

2020

This Site logo

Very well informed on what they are going to do and how much it will cost up front... the doctor called after procedure and checked on me and went over what was done again when I was not so groggy. Very much recommend this doctor and his staff!

View on this site
Dr. Rick Heard

Dr. Rick Heard

Dr. Heard is board-certified in periodontology and dental implant surgery with over 15 years of experience in the field. He is also a member of multiple prestigious organizations, including:

  • The American Academy of Periodontology
  • The American Dental Association
  • The McGuire Institute

Find out if you are a candidate for dental implants by requesting an appointment online or calling (361) 573-1014 today.

Message Our Staff

After multiple years of avoiding a dental issue, I visited Dr. Heard. In a short period of time, I went from what I thought was a hopeless dental problem, to a complete solution. I now have a full understanding of my procedure, the timeline, and even exact costs.

Rate, Review & Explore

Social Accounts Sprite